

We offer comprehensive care for all your basic dental health needs.
Schedule with Our Dentist in Columbia, MD
A general dentist is like the quarterback of your healthcare team—coordinating all aspects of your oral health and serving as your first point of contact for dental needs. Dr. Nathaniel Fogel has provided general dentistry services in Columbia, MD, for over a decade, providing comprehensive care that puts his patients’ needs first.

At Pineview Dental, we welcome all ages—from toddlers to seniors. We aim to be your dental home for life by establishing trusting relationships that you can rely on. With one convenient dental office for your entire family, we can help simplify your schedule with convenient appointments and ensure everyone receives consistent, high-quality care.
At MCB Dental, you’ll find all the quality oral healthcare your family needs in one convenient location.









A severe toothache often indicates an infection that has reached the tooth’s pulp and nerves. This infection won't resolve on its own. Root canal treatment at Pineview Dental is the only way to save the tooth and eliminate pain by removing the infected pulp.
Living with damaged or missing teeth means adjusting daily habits, experiencing ongoing discomfort, and feeling self-conscious about your appearance. At Pineview Dental, we custom-craft dental crowns and bridges that look natural and fit perfectly. Our dentists will help you explore options and provide honest recommendations for your long-term smile goals.


Living with damaged or missing teeth means adjusting daily habits, experiencing ongoing discomfort, and feeling self-conscious about your appearance. At Pineview Dental, we custom-craft dental crowns and bridges that look natural and fit perfectly. Our dentists will help you explore options and provide honest recommendations for your long-term smile goals.

When you run your tongue over a sensitive spot on your tooth or notice a twinge while enjoying your morning coffee, you might be experiencing the early warning signs of a cavity. At Pineview Dental, we offer modern tooth-colored fillings that prioritize your oral health and your smile's appearance.

10/10 Seriously. I hadn't been to the dentist in a long while. The staff are soooo friendly and everyone is extremely nice. No tsking, no lectures, no judgement. Dr Fogel's cheerful, upbeat demeanor put me at ease. And I left smiling. Is it weird to look forward to going to the dentist office? These people rock!


Pineview dental is outstanding. I would highly recommend the professionals here as me and my family have loved their atmosphere for the past 2 years since moving from DC. They do incredible work and they don't keep you waiting like so many other offices. Dr. Fogel is a true professional and very funny, while maintaining high standards.


Dr. Fogel & everyone on staff at Pineview Dental are incredibly kind and understanding, as well as thorough to explain what would take place. I was able to get an appointment for an emergency that I had quite a lot of anxiety about, but was so relieved afterwards. Thanks so much!!!

Meet Our Doctor:

Dr. Nathaniel Fogel was born and raised in Queens, NY, and is one of four children. Blessed with an aptitude for hands-on work and science and an outgoing personality, his interest in dentistry was sparked ...

Dr. Roberta Dosh joined Pineview Dental in January 2025, bringing her over three decades of dental expertise. She graduated from the University of Maryland School of Dentistry in 1993, completed a residency at the Veterans ...
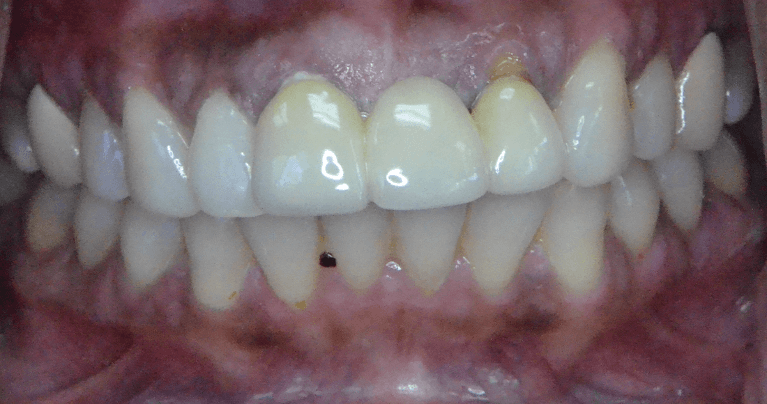
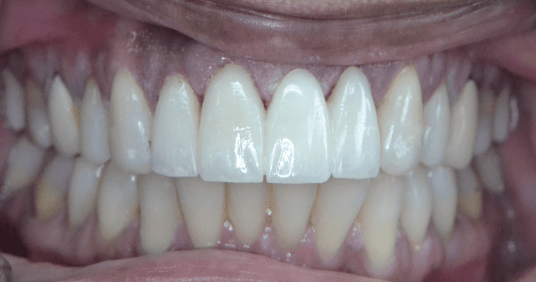
Do you want to improve your smile but aren't sure where to start? Browse through our gallery of
before and after photos to see what's possible, then give us a call to schedule an appointment to get started!




Crown Treatment & Esthetic Enhancements
Crowns, Implants & Esthetic Excellence




Esthetic Dentistry That Enhances Natural Beauty
Following a dental injury, we restored this smile with a custom crown—bringing back strength, function, and natural esthetics.
Do you want to improve your smile but aren't sure where to start? Browse through our gallery of before and after photos to see what's possible, then give us a call to schedule an appointment to get started!


Crown Treatment & Esthetic Enhancements


Crowns, Implants & Esthetic Excellence


Esthetic Dentistry That Enhances Natural Beauty


Following a dental injury, we restored this smile with a custom crown—bringing back strength, function, and natural esthetics.
Patient education is important to us, and we always welcome questions. On this page, you'll find some of our most frequently asked questions. If you don't find the answer you need here, please don't hesitate to call us at (410) 730-3311, and a knowledgeable team member will be happy to help you.
Most patients benefit from scheduling dental checkups and professional cleanings every six months. This twice-yearly schedule allows our team to monitor your oral health regularly, remove plaque and tartar buildup, and address small concerns before they develop into more complex issues.
Cavities often develop without symptoms, especially in the early stages, which is why routine checkups are crucial. As decay progresses, you may notice mild signs but not realize they mean you have a cavity.
With proper care, dental crowns can last 15 years or longer. At Pineview Dental, Dr. Fogel selects high-quality materials that balance durability with a natural appearance, ensuring your restoration functions well and looks beautiful.
The dental implant process at Pineview Dental involves several steps and typically takes several months from start to finish. Here’s what you can expect:Your insurance card, medical history, and any relevant dental records.
While some dental emergencies result from unexpected accidents, many can be prevented with proactive care and smart habits. Our team at Pineview Dental believes in helping patients avoid the pain, inconvenience, and expense of emergencies whenever possible.
Is Your Family Due for a Dental Checkup?

We built our practice around creating a unique dental experience. Dr. Nathaniel Fogel established Pineview Dental with a clear vision of combining clinical excellence with genuine human connection. When you visit our Columbia office, you'll find a calm, unhurried atmosphere. We thoroughly answer your questions, explain procedures, and prioritize your comfort.
Contact Us
8815 Centre Park Dr,
#310 Columbia, MD 21045
Phone: (410) 730-3311
Fax: (443) 535-6917
OFFICE HOURS:
Monday 9:00AM - 5:00PM
Tuesday 8:00AM - 3:00PM
Wednesday 9:00AM - 5:00PM
Thursday 9:00AM - 5:00PM
Friday Closed
Saturday Closed
Sunday Closed
© Pineview Dental 2025 | Privacy Policy | All rights reserved.

We built our practice around creating a unique dental experience. Dr. Nathaniel Fogel established Pineview Dental with a clear vision of combining clinical excellence with genuine human connection. When you visit our Columbia office, you'll find a calm, unhurried atmosphere. We thoroughly answer your questions, explain procedures, and prioritize your comfort.
Contact Us
8815 Centre Park Dr,
#310 Columbia, MD 21045
Phone: (410) 730-3311
Fax: (443) 535-6917
OFFICE HOURS:
Monday 9:00AM - 5:00PM
Tuesday 8:00AM - 3:00PM
Wednesday 9:00AM - 5:00PM
Thursday 9:00AM - 5:00PM
Friday Closed
Saturday Closed
Sunday Closed
© Pineview Dental 2025 | Privacy Policy | All rights reserved.